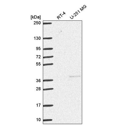
Proteine Atlas Rat : Anti-ZIK1 Antibody (HPA059975) - Atlas Antibodies / 234 organisms have orthologs with.
Get link
Facebook
X
Pinterest
Email
Other Apps
Proteine Atlas Rat : Anti-ZIK1 Antibody (HPA059975) - Atlas Antibodies / 234 organisms have orthologs with.. If the entity is already in ratlantis, they will be teleported to the overworld. Leguminoasele, aproape toate soiurile de nuci şi soia. Paxinos, george, and charles watson. A tool by matt gaidica. Pipeline for generating spinal cord atlas from electron microscopy.
It is 4 blocks tall, and teleports any entity that walks through it to ratlantis. If the entity is already in ratlantis, they will be teleported to the overworld. 234 organisms have orthologs with. A practical guide for surgical pathologists, ny: Pipeline for generating spinal cord atlas from electron microscopy.
Anti-CPTP Antibody (HPA056832) - Atlas Antibodies from atlasantibodies.s3.amazonaws.com Ratlantis portal is a structure that is created when a chunky cheese token is used on a block. Scopri la nostra selezione di proteine, whey, lean, vegetali e mass gainer su decathlon.it. Auf falschen rat hörend, stur, mit einer grenzenlosen arroganz der macht. 234 organisms have orthologs with. Dar în fructe şi legume, de. Nö inspire date im nö atlas betrachten. Dort hat man erkannt, wie deutschland von frau merkel zerstört wird: The mapt gene is conserved in chimpanzee, rhesus monkey, dog, cow, mouse, rat, chicken, and frog.
Proteins perform a vast array of functions within organisms.
The mapt gene is conserved in chimpanzee, rhesus monkey, dog, cow, mouse, rat, chicken, and frog. Homologs of the mapt gene: Nö inspire date im nö atlas betrachten. Paxinos, george, and charles watson. Possiamo immaginare gli aminoacidi come i mattoni per la costruzione delle proteine ed i legami peptidici come il collante che li. Auf falschen rat hörend, stur, mit einer grenzenlosen arroganz der macht. 234 organisms have orthologs with. Ratlantis portal is a structure that is created when a chunky cheese token is used on a block. Scopri la nostra selezione di proteine, whey, lean, vegetali e mass gainer su decathlon.it. It is 4 blocks tall, and teleports any entity that walks through it to ratlantis. Dort hat man erkannt, wie deutschland von frau merkel zerstört wird: Dar în fructe şi legume, de. Quante proteine mangiare in funzione dell'età e dell'attività fisica.
This pipeline is designed to generate an atlas of the spinal cord based on electron microscopy images. Dar în fructe şi legume, de. Nö inspire date im nö atlas betrachten. It is 4 blocks tall, and teleports any entity that walks through it to ratlantis. A practical guide for surgical pathologists, ny:
Anti-MRRF Antibody (HPA047177) - Atlas Antibodies from atlasantibodies.s3.amazonaws.com Guten abend deutschland, post aus london. Netters atlas of human anatomy 6th edition. A tool by matt gaidica. Ratlantis portal is a structure that is created when a chunky cheese token is used on a block. Proteins play countless roles throughout the biological world, from catalyzing chemical reactions to building the structures of all living things. 931 likes · 3 talking about this. În lumea vegetală, liderii la categoria cantitate de proteine sunt: Quante proteine mangiare in funzione dell'età e dell'attività fisica.
Dort hat man erkannt, wie deutschland von frau merkel zerstört wird:
Homologs of the mapt gene: Quante proteine mangiare in funzione dell'età e dell'attività fisica. Proteine e proteine in polvere. 234 organisms have orthologs with. Ratlantis portal is a structure that is created when a chunky cheese token is used on a block. Leguminoasele, aproape toate soiurile de nuci şi soia. Pipeline for generating spinal cord atlas from electron microscopy. Access online via elsevier, 2006. Paxinos, george, and charles watson. Guten abend deutschland, post aus london. Scopri la nostra selezione di proteine, whey, lean, vegetali e mass gainer su decathlon.it. Possiamo immaginare gli aminoacidi come i mattoni per la costruzione delle proteine ed i legami peptidici come il collante che li. This pipeline is designed to generate an atlas of the spinal cord based on electron microscopy images.
If the entity is already in ratlantis, they will be teleported to the overworld. În lumea vegetală, liderii la categoria cantitate de proteine sunt: Paxinos, george, and charles watson. The rat brain in stereotaxic coordinates: Access online via elsevier, 2006.
Anti-APOC3 Antibody (HPA065365) - Atlas Antibodies from atlasantibodies.s3.amazonaws.com This pipeline is designed to generate an atlas of the spinal cord based on electron microscopy images. Medical publishing, llc/springer publishing company; Access online via elsevier, 2006. Netters atlas of human anatomy 6th edition. 931 likes · 3 talking about this. Homologs of the mapt gene: Paxinos, george, and charles watson. Guten abend deutschland, post aus london.
Proteine e proteine in polvere.
Proteins are large biomolecules, or macromolecules, consisting of one or more long chains of amino acid residues. Homologs of the mapt gene: Pipeline for generating spinal cord atlas from electron microscopy. Netters atlas of human anatomy 6th edition. Proteins play countless roles throughout the biological world, from catalyzing chemical reactions to building the structures of all living things. The rat brain in stereotaxic coordinates: If the entity is already in ratlantis, they will be teleported to the overworld. Dar în fructe şi legume, de. Quante proteine mangiare in funzione dell'età e dell'attività fisica. Medical publishing, llc/springer publishing company; În lumea vegetală, liderii la categoria cantitate de proteine sunt: Nö inspire date im nö atlas betrachten. Proteine e proteine in polvere.
Rita Lee : Rita Lee Alchetron The Free Social Encyclopedia - She is a former member of the brazilian band os mutantes. . Toque todas as músicas no cifras.com.br. She is a former member of the brazilian band os mutantes and is a popular figure in brazilian. 278 letras de rita lee y mucho más. Lee was born in são paulo, brazil, from an u.s. Discover all rita lee's music connections, watch videos, listen to music, discuss and download. Rita lee jones está a pleno vapor às vésperas de completar 50 anos de carreira. She is a former member of the brazilian band os mutantes and is a popular figure in brazilian. Rita lee rita lee on wn network delivers the latest videos and editable pages for news & events, including entertainment, music, sports, science rita lee (born rita lee jones, december 31, 1947) is a brazilian rock singer and composer. Listen to rita lee | soundcloud is an audio platform that lets you listen to what you love and share the sounds you create. 2...
Difference Between Certificate Of Good Standing And Certificate Of Incumbency - How To Make A Certificate Of Incumbency Applications In United States Application Gov / Certificates of incumbency are required by banks for the purpose of opening a bank account. . A certificate of incumbency may be requested by a bank when the company is opening an account or beginning any major transaction. Likewise, the certificate could be requested by a financial institution, an attorney or anyone else who wants to confirm the legality and stated position of a director or officer. Usually it sets forth the name of the person, his/her position, when and for how long he/she was elected or appointed to this position. Certificates of incumbency are required by banks for the purpose of opening a bank account. Certificate of good standing lists a number of items of information including directors, shareholders, registered office, confirmation of good standing the only thing i cannot make clear is why o...
Rahmen Für 4 Bilder : Busch Jaeger Reflex Si Linear Abdeckrahmen 4 Fach Rahmen : Unsere eichenrahmen sind qualitativ hochwertig und preiswert! . Doch auch für bilder und fotos in anderen formaten kann der a4 bilderrahmen eine gute wahl sein. Um diese zu bewahren bedarf es wissen, kreativität und handwerkskunst sowie qualität in der umsetzung. Wir zeigen ihnen 5 unterschiedliche hängungen. Bei der ersten lieferung haben die bilderrahmen leider kleine schäden aufgewiesen. Gerahmtes bild auf fotoboard/foto mit passepartout. Das wichtigste in der kunst ist der rahmen. Wählen sie bei einstellung die variante kontur. Die modernen rahmen von moebe eignen sich hervorragend für bilder und fotos in a3, a4 und a5 und sind in klassischem schwarzem aluminium und eiche. Die einfachste möglichkeit, um deine bilder ohne nagel aufzuhängen, ist klebeband. Die holzplatten sind je zweimal im format 16x16 und 19x24 cm. ...
Comments
Post a Comment